Vairāk rezistentas tuberkulozes pacientu
7. septembris, 00:00, 2012
|
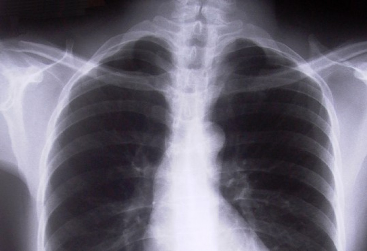
Arī Latvijā, līdzīgi kā citās pasaules valstīs, pieaug saslimstība ar zāļu rezistento tuberkulozi.
Šā gada astoņos mēnešos Latvijā reģistrēti 567 pirmreizējas tuberkulozes gadījumi, tajā skaitā 84 multirezistentas tuberkulozes jeb gadījumi, kad tuberkulozes izsaucējs ir nejutīgs pret kādām no prettuberkulozes zālēm, liecina Tuberkulozes un plaušu slimību centra dati.














Komentāri (0)